The Effect of Using Astragalus Spinosus Extracts as a Treatment for Leishmania Parasite in Terms of Histological Changes
Keywords:
Effect, Astragalus Thistle Extracts, Treatment, Leishmania Parasite, Histological Changes.Abstract
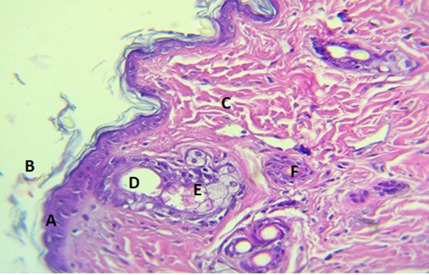
In the experimental study on laboratory animals, the alcoholic extract of Astragalus spinosus was used on rabbits at a concentration of 75% in the first group. It was observed that the ulcer diameter started decreasing until it completely disappeared after 22 days from the start of the experiment. Additionally, the aqueous extract of Astragalus spinosus was also used on mice at a concentration of 75% in the second group to treat the ulcer caused by Leishmania parasite. The ulcer size decreased from 5 mm after three days of the experiment to 1 mm after twenty days of the experiment, and then it completely disappeared after 22 days from the start of the experiment. The role of Astragalus spinosus extracts in healing the skin tissues infected with Leishmania parasite involves reducing inflammation and stimulating the immune system. This is due to the active compounds present in Astragalus spinosus, such as flavonoids and triterpenoids, which possess anti-inflammatory and antioxidant properties. These properties make it effective in treating skin injuries. The epidermal cells of the skin organized in rows surrounded from the outside by keratin material in the form of darkcolored threads, while the dermis contained numerous bundles of fibrous tissue with infiltrated white blood cells and macrophages around the hair follicles.

Published
How to Cite
Issue
Section
Copyright (c) 2023 Authors

This work is licensed under a Creative Commons Attribution 4.0 International License.